Summary of the clinical investigations of DC current against cancer tumors

Science magazine #130, 1959, Humphrey and Seal
Biophysical Approach Toward Tumor Regression In Mice
Mice were given implants of sarcoma-180 tumors. Two external electrodes were placed on the skin, one over the tumor area. 3mA of direct current was applied for 4.8 hours daily, alternating hours between treatment and non-treatment so that total time was almost 9 hours. After 15 days the treated tumors were 58% smaller than the tumors in the control group.  "By the 21st day all control animals had died and a 60 percent total regression of the test tumors had occurred. (Total regression means that the tumor had decreased progressively in volume, hardened, and dropped off, leaving a new skin surface at the former tumor site.)"  (research paper)

Medical Hypotheses (1997) 49, pg 297-300
Targeting a key enzyme in cell growth: A novel therapy for cancer

This study hypothesizes that the successes of studies of direct electrical current (DC) against cancer tumors is due to the fact that DC inhibits the RR enzyme which is necessary for cancer cell growth. The paper reviews other studies that had, amongst others, these results; 1) 60% of the treated mice had their tumors decrease/harden/drop-off using external electrodes at 3mA current for 4.8 hours daily for 21 days, 2) 88% tumor destruction in hamsters using one external electrode and one implanted needle electrode at 3mA for 1 hour daily for 4 days, 3) 98% average reduction in tumor size in hamsters using one external electrode and one implanted needle electrode at 2.4mA for 1 hour daily for 5 days. (article)

Alternative Cancer Treatment with few side effects: The Electro Carcinoma Therapy (ECT)
This is information from the German clinic which references a 30% success rate (of total tumor destruction) that the Chinese had with over 10,000 patients. An additional 40% had reduction of tumor size. They applied the DC current to platinum wire electrodes, in the form of needles, injected directly into the tumors. In contrast; the German Marburg Institute works almost exclusively with metal electrode plates applied to the skin which gives them the same results. Their treatments are for 2-3 hours for at least 2 consecutive days. They vary the current amount according to tumor size and density. (original article in German)

CLICK HERE for the extended versions of the above studies.

CLICK HERE to read about treatment considerations using an external electrode Tumor Electrifier.

CLICK HERE to read about ECT using insertable needle electrodes.


from http://www.iabc.readywebsites.com/page/page/623960.htm:

Five year survival rates for liver cancer patients treated in China is approximately 15%, whereas the five year survival rate for liver cancer patients treated with conventional therapies in the U.S. is approximately 5%. Dr. Nordenström's early five year survival rates for advanced stage breast cancer patients was approximately 60%.

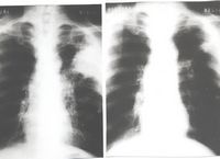
The X-ray images (from: Journal of the International Association for Biologically Closed Electric Circuits in Medicine and Biology, Vol. 1, January-December, 2002), for a 52 year old lung cancer patient show a 9.5 cm by 11 cm carcinoma (left photo), diagnosed by needle biopsy. Six platinum electrodes were inserted into the skin and into the tumor mass using X-ray monitoring. After the patient received six months of electrical treatment (EChT), the tumor completely disappeared (right photo). The patients progress has been very good.


In 1987, Dr. Bjorn Nordenstrom introduced BCEC and EChT to the Chinese medical profession. Since that time, considerable progress has been made. Dr. Xin Yu-Ling, Head of Thoracic Surgery at Friendship Hospital in Beijing, China and his staff have administered many EChT treatments. The Cancer Center of P.L.A., Nanjing Ba-Yi Hospital, Nanjing, China also treats cancer patients using EChT. EChT is also available at Guangxi Cancer Institute and Hospital, Guangxi, China.

The Journal of the IABC (Vol. 1, January-December, 2002) provides an overview of the results and therapeutic efficacy for EChT, alone, or in combination with other cancer therapies. In his paper, "Clinical Effectiveness Report for Approximately 11,000 cancer Patients With Various Kinds of Tumors Treated With Electrochemical Therapy" (EChT), Dr. Xin, Yu Ling has reported some impressive results. Most of the patients treated had one of the following forms of cancer: esophageal cancer, lung cancer, liver cancer, skin cancer, breast cancer, cancer of the head and face and metastatic lymph node cancer. Almost 70% of the tumors treated were larger than 5 cm.

The five year survival rate for EChT treated cancer patients has been approximately 69% for the combined stage I and stage II categories. If the large numbers of stage III Chinese cancer patients, with very large diameter tumors are included, the five year survival rate is 53%.

Many European cancer patients have been treated with EChT in various European hospitals and clinics including the Klinik St. Georg, Bad Aibling, Germany and Karolinska Hospital, Stockholm, Sweden.


In an Bioelectrochemistry article "Electrochemical Treatment of Tumors" details of the Chinese study results were listed as such:

5 year survival rates after having received ECT

Malignant tumors treated      % survival rate
skin cancer      80%
laryngeal cancer      62%
tongue or lip cancer      62%
prostate cancer      50%
lung cancer      39%
jaw +  facial tumors      39%
 
Benign tumors treated % survival rate
thyroid tumors      99%
prostate tumors      71%
thyroid carcinoma      53%
breast cancer      50%
thyroid carcinoma      53%
chest-abdominal wall metastases      43%

(These percentages are not in conflict with the 30% rate of complete tumor elimination that the article by the Marburg Institute lists because they aren't percentages of complete tumor elimination, but rather of percentages of patients still alive after 5 years.)


Click here to read about how 80 Coulombs (per square centimeter tumor size) electrical charge applied by platinum electrodes in mice with tumors had long term success, whereas lower total charge (electrical current times treatment time) was unsuccessful. Equal to 80 Coulombs is: 5mA of applied direct current for 4 hrs 26 min. That is why the DC Electrifiers current setting is 5mA for cancer treatment which is considered a minimum amount. More than that can leave an electrical burn. Here is the chart showing the continued death of tumors at 80 Coulombs:

 

Effect of direct electric current on the growth curve of fibrosarcoma Sa-37 tumor . The experimental groups formed for the fibrosarcoma Sa-37 tumor were CG2 (treated group with 36 C/cm3), TG2-1 (treated group with 63 C/cm3), TG2-2 (treated group with 80 C/cm3), TG2-3. Each experimental group is formed by 10 mice.

Swedish professor Bjorn Nordenstrom also had success with 80C per square centimeter of tumor size in 20 patients with 26 inoperable lung tumors. 12 out of the 26 tumors (46%) had complete regression (elimination) and no signs of regrowth were detected after a 2-5 year follow-up.