|
|
Eight Steps to |
the Cure |
 |
STEP 1:
infrared screening & analysis
A multi-phase screening program at QHM® Labs. If the
thermal image appears
like the one to the left or below, with supporting QHM®
lab data, we then move to Step 2. For women we do a breast scan to
determine if there are any abnormalities in the
breast. In the image below, experience tells us to look
closely at the left breast.
|
 |
infrared
breast scan
|
 |
STEP 2:
correction of dental infections
NCIT research has proven that oral
pathology is the cause of cancer. This photo was taken
by QHM® oral
surgeon while correcting the oral pathology that caused
the cancer. WITHOUT THIS STEP, HER
CANCER WILL RETURN.
|
 |
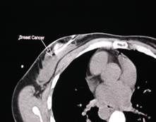
STEP 3:
radiology
This step is taken by a
QHM® interventional
radiologist to verify the exact area of this early cancer mass
which was missed weeks earlier by mammography. Prior to her
appointment with the radiologist, she was sent for a breast
MRI which also showed the mass that mammography had
missed.
|
 |
STEP 4: CAT
scan
This step was taken solely for the
benefit of those individuals who would try to discredit this
technology. NCIT's founder, Robert Dowling, wanted to
prove that the mass was, in fact, cancer -- and, of course, it
was. With QHM®
technology, a biopsy is no longer necessary. A
"guiding" CAT scan is used for the proper placement of the
ablation device to kill the tumor. The CAT scan is a second
proof of the cancer.
|
 |
STEP 5: tumor
destruction
This FDA-cleared procedure destroys the
breast mass in approximately 15 minutes without chemotherapy,
radiation or major surgery. While other practitioners are
performing this procedure, it is incomplete as a cure unless
oral pathology is corrected. This explains why the majority of
cancers return -- except in patients treated according to NCIT
protocols. Correcting oral pathology and applying QHM®
technology
is the ultimate cure!
|
|
STEP 6 Detoxification of
the body to rid it of the neurotoxins. These neurotoxins tend
to linger in the tissues causing more damage.
STEP 7 Reactivation of
the proteins that were inhibited by the neurotoxins. These are
the proteins that genetically provide your body with the
ability to block new tumor growth. This process provides a
CURE, not remission, for cancer, and was developed by
the North Carolina Institute of Technology.
STEP 8 Have an Annual
QHM® Four-Phase Physical Exam.
|
| Inflammatory breast
cancer, a very serious breast disease and virtually
undetectable
through traditional screening technology is easily
detectible through the QHM screening process.
Breast MRI technology, which can detect this disease, will
never be a widely used screening technology because of its
cost.
|
|
|